
Discover the magic of a brighter, healthier smile. Our Smile Gallery showcases real-life transformations achieved through our advanced dental treatments.
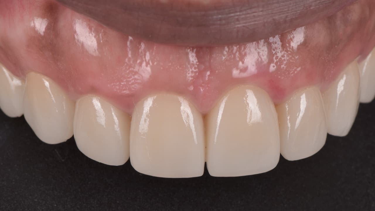
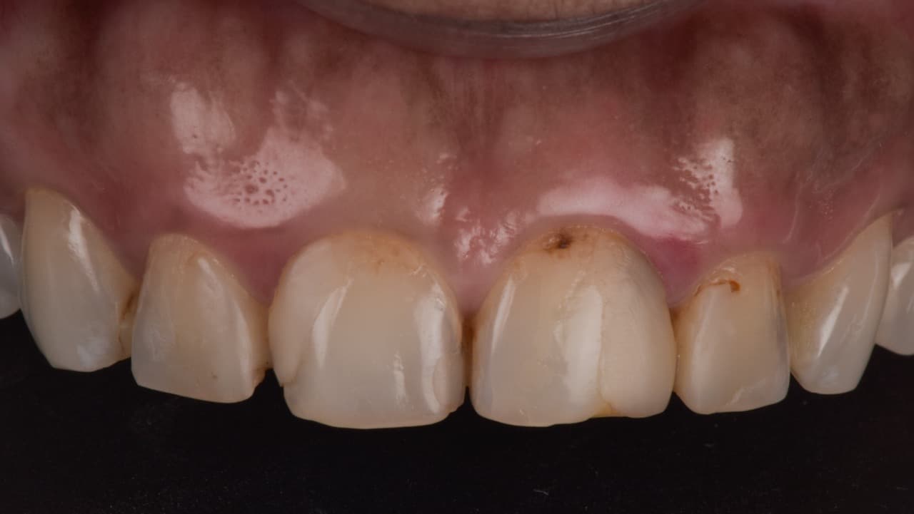
SPECTRUM’S ANTERIOR CROWNS BEFORE & AFTER
Before-and-after images in this collection reveal the remarkable transformations achieved with anterior crowns, which are designed to repair damage, strengthen structure, and improve the overall aesthetics of the teeth that are most visible when smiling or speaking.
SPECTRUM’S SPACE CLOSURE ORTHODONTICS BEFORE & AFTER
An orthodontic techniques effectively close gaps between teeth, enhancing both function and aesthetics.
This series of before-and-after images highlights the specialized approaches used in orthodontics to address unwanted spaces, often caused by missing teeth, disproportionate tooth sizes, or growth issues.
Regular, thorough cleanings using advanced techniques to ensure a healthy, plaque-free smile.
Transformative cosmetic treatments tailored to create your dream smile with lasting beauty
Professional whitening services to brighten your smile and remove stubborn stains effectively.
SPECTRUM’S DISCOLORED FILLINGS BEFORE & AFTER
This series of before-and-after images highlights how fillings that have deteriorated or become stained over time can be restored.
This series of before-and-after images highlights the specialized approaches used in orthodontics to address unwanted spaces, often caused by missing teeth, disproportionate tooth sizes, or growth issues.
Located in Khar West, Mumbai, our clinic is equipped with the latest in dental technology, ensuring you receive the best care while achieving a brighter, more confident smile.